Skip to main content
Ophthalmology
Age-related Macular Degeneration

(AMD) is a chronic progressive multifactorial disease characterised by a degenerative process in the retinal pigment epithelium (RPE), Bruch membrane, and central fundus choriocapillaries with secondary involvement of the neuroepithelium (NE). AMD is the leading cause of central vision loss among people over 60 years of age. AMD was first described by Otto Haab in 1885.

Epidemiology

The development of AMD has been shown to be related to age. According to data from the Beaver Dam Eye Study, the detection rate for AMD increased from 4.2% for people aged 43–54 years to 46.2% for people over 75 years of age. The incidence of AMD is on the rise, with 288 million AMD patients expected worldwide by 2040. The social and medical significance of this pathology is due to the rapid loss of central vision and the loss of general productivity.

Etiology and Pathogenesis

The etiology is undetermined. Risk factors for AMD include:

  • Age: the disease occurs at the age of 50 and older
  • Smoking doubles the risk of AMD. Smoking cessation reduces risk of AMD
  • Ethnic factor: AMD affects Europeans more often than other ethnic groups
  • Family history: Genetic factors
  • Arterial hypertension and lipid abnormalities
  • Low serum antioxidant concentration

In terms of pathogenesis, AMD is a chronic degenerative process in the RPE, Bruch membrane, and choriocapillaris. In pathogenesis, lipid peroxidation reactions, inflammation, complement dysfunction, defence mechanism deficits and other factors play a role.

The main pathogenetic links of AMD can be divided into the following groups:

  • developmental factors (the most important are hypoxia, thinning of capillaries, and changes in oxidative reactions)
  • trigger factors (the most important are RPE dysfunction, drusen, Bruch membrane damage)
  • local immune system disorder

The gradual development of these factors leads to the onset of the pathological process and the formation of AMD.

Knowledge of the pathogenetic mechanisms of the disease and modern approaches to therapy will make it possible to improve treatment outcomes and reduce the risk of blindness and disability in patients with AMD.

Bibliography:

1. Federal clinical guidelines approved by the Russian Ministry of Health. “Macular degeneration is age- related”.

2. Richard David Semba, Handbook of Nutrition and Ophthalmology, Springer Science & Business Media, 2007, P.163. 

3. Klein R. et al. Ten-year incidence and progression of age-related maculopathy: The Beaver Dam eye study / Ophthalmology. – 2002. – Vol. 109. No. 10. – P. 1767–1779. 

4. Wong W. L. et al. Global prevalence of age-related macular degeneration and disease burden projection for 2020 and 2040: a systematic review and metaanalysis/ The Lancet Global Health. – 2014. – Vol. 2. No. 2. – P. 106–116. 

5. Neroev, V. V. Russian Observational Epidemiological Non- Interventional Study of Patients with Wet Age- Related Macular Degeneration / V.V. Neroev // Russian Journal of Ophthalmology. – 2011. – No. 2. – S. 4–9. 

6. Friedman D. S. et al. Prevalence of age-related macular degeneration in the United States / Arch ophthalmol. – 2004. – Vol. 122. No. 4. – P. 564–572. 

7. Velilla S. et al. Smoking and age-related macular degeneration: review and update / Journal of ophthalmology. – 2013. DOI: 10.1155/2013/895147 

8. Rudnicka A. R. et al. Age and gender variations in age-related macular degeneration prevalence in populations of European ancestry: a meta-analysis / Ophthalmology. – 2012. – Vol. 119. No. 3. – P. 571–580

9. Ratnapriya R., Chew E. Y. Age-related macular degeneration—clinical review and genetics update / Clinical genetics. – 2013. – Vol. 84. No. 2. – P. 160–166. 

10. Chakravarthy U. et al. Clinical risk factors for age- related macular degeneration: a systematic review and meta-analysis / BMC ophthalmology. – 2010. – Vol. 10. No. 1. – P. 31. 

11. Erke M. G. et al. Cardiovascular risk factors associated with age-related macular degeneration: the Tromso Study / Acta ophthalmologica. – 2014. – Vol. 92. No. 7. – P. 662–669 

12. Tomany S.C. et al. Risk factors for incident age- related macular degeneration: pooled findings from 3 continents / Ophthalmology. – 2004. – Vol. 111. No. 7. – P. 1280–1287. 

13. Nita M. et al. Age-related macular degeneration in the aspect of chronic lowgrade inflammation (pathophysiological parainflammation)/Mediators of inflammation. – 2014. DOI: 10.1155 / 2014/930671 

14. Bibkov M.M., Fayzrahmanov R.R., Yarmukhametova A.L. Age-related macular degeneration. – M: April, 2013. – 196 p.

Age-related macular degeneration (AMD) is a chronic progressive multifactorial disease characterised by a degenerative process in pigment epithelium (PE), the Bruch membrane and central fundus choriocapillaris with secondary neuroepithelium (NE) lesion and is the main cause of central vision loss in older people.

Typical signs of AMD include:

  • Drusen
  • Changes in retinal PE
  • Geographic atrophy (GA)
  • Choroidal neovascularisation (CNV)
Age-Related Eye Disease Study (AREDS) classification
No AMD (Category 1 AREDS)
  • no change
  • a small number of small drusen (diameter < 63 microns)
Early AMD stage (category 2 AREDS) 
  • multiple small drusen,
  • a small number of medium-sized drusen (63 to 124 microns in diameter), or
  • initial changes in retinal PE;
Intermediate stage AMD (category 3 AREDS) 
  • many medium-sized drusen,
  • at least one large drusen (diameter ≥ 125 microns), or
  • foci of geographic atrophy (GA) not affecting the fovea;
Late stage AMD (category 4 AREDS)
Characterised by one or more of the following (if no other causes):
  • geographic atrophy (GA) lesions affecting the central area of the eye
  • macular neovascularisation with various manifestations (NE and/or PE detachment, NE oedema, haemorrhages, solid (lipid) exudates and others, formation of scarring-atrophic changes) 
Diagnosis of AMD: Primary Level
Clinical tasks:

Identification of patients with signs of AMD, solution of questions on tactics for further examination and treatment depending on the stage of the disease.

Imaging methods:
  • Ophthalmoscopy (from the Greek ophtalmos – eye and skopeo – watch, observe) is a method of examining the inner layers of the eye with the help of special instruments (ophthalmoscope and special lenses), which enables evaluation of the retina, optic disc and vessels of the fundus, and serves as the main, modern diagnostic method of pathology of the eye fundus.

Ophthalmoscopy under mydriasis is necessary to detect early signs of AMD

There is direct and indirect ophthalmoscopy.

  • Biomicroscopy is a method of examining the fundus of the eye involving the use of a slit lamp along with high-diopter aspheric lenses (+ 60.0, + 78.0, + 90.0 diopters) or contact lenses (such as Goldmann's three-mirror lens or panfundus lenses).

An enlarged stereoscopic image of the fundus can be obtained. The optimal ophthalmoscopy method for AMD diagnosis

Algorithm for management of patients with AMD
Small (hard) drusen
Nagahisa Yoshimura, Masanori Hangai OCT Atlas ISBN-13 978-3-642-38624-4 ISBN 978-3-642-38625-1 (eBook) DOI 10.1007/978-3-642-38625-1

Springer Medizin © Springer-Verlag Berlin Heidelberg 2014 p.315

  • Size: <  63 μm (corresponding to ½ vein diameter at the edge of the optic disc).
  • Shape: regular round.
  • Boundaries: clear.
  • Colour: yellowish.
  • Location: macula, periphery, single, multiple.
Medium-sized drusen
Multicolour image of the fundus of the right eye. Multicolor HE Spectralis. Own data
  • Size: 63 to 124 microns (not more than the diameter of the vein at the edge of the optic disc).
  • Shape: irregular round.
  • Boundaries: fuzzy.
  • Colour: yellowish, pale.
  • Location: macula.
Large drusen
Colour photo of the right and left eyes. Own data
  • Size: 63 to 124 microns (not more than the diameter of the vein at the edge of the optic disc)
  • Shape: irregular round
  • Boundaries: fuzzy
  • Colour: yellowish, pale
  • Location: macula, posterior pole of eye
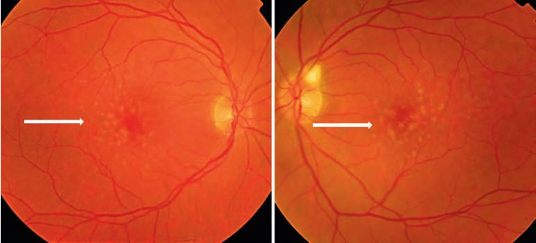
Pigment epithelial disorders

Personal data of E.Yu. Zubkova

Colour photo of the right eye fundus:

Initial changes in retinal pigment epithelium (PE):

  • Areas of dyspigmentation, lighter than surrounding retinal foci with irregular contours, irregular shape (arrow)
Colour photo of the left eye fundus:

Initial changes in retinal pigment epithelium (PE):

  • Areas of dyspigmentation, lighter than surrounding retinal foci with irregular contours, irregular shape (arrow)
Foci of geographic atrophy not affecting the foveal fossa

Colour photograph of the ocular fundus of the left eye. Own data

  • Depigmentation areas are light areas with distinct contours (white arrows), with large visible choroid vessels (blue arrows) that do not affect the foveal area.
Foci of geographic atrophy affecting the foveal fossa

Colour photo of the right eye fundus. Own data

  • Depigmentation areas are bright areas with clear contours (white arrow), where you can see large choroid vessels (blue arrows) occupying the foveal fossa.
Pigmented epithelial detachment

Nagahisa Yoshimura, Masanori Hangai OCT Atlas ISBN-13 978-3-642-38624-4 ISBN 978-3-642-38625-1 (eBook) DOI 10.1007/978-3-642-38625-1

Springer Medizin © Springer-Verlag Berlin Heidelberg 2014 p.31

  • Colour photo of the left eye fundus: the macula shows a large PE about four times the diameter of the optic disc. Notch at the top-temporal edge of the detachment is visible (white arrow). Likely site of neovascular membrane.
Macular neovascularisation: sensorineural detachment, haemorrhages
  • Colour photograph of the ocular fundus of the left eye: neurosensory detachment (blue arrow), haemorrhage (black arrow), numerous large drusen (white arrows)

Nagahisa Yoshimura, Masanori Hangai OCT Atlas ISBN-13 978-3-642-38624-4 ISBN 978-3-642-38625-1 (eBook) DOI 10.1007/978-3-642-38625-1

Springer Medizin © Springer-Verlag Berlin Heidelberg 2014 p.31

  • Colour photo of the left eye fundus: neurosensory detachment (blue arrow), haemorrhage (black arrow).
Macular neovascularisation: sensorineural detachment, oedema, haemorrhages, large drusen, deposition of solid exudates.
Nagahisa Yoshimura, Masanori Hangai OCT Atlas ISBN-13 978-3-642-38624-4 ISBN 978-3-642-38625-1 (eBook) DOI 10.1007/978-3-642-38625-1

Springer Medizin © Springer-Verlag Berlin Heidelberg 2014 p.31

  • Colour photo of the right eye fundus: the macula shows retinal whitening due to oedema (blue arrow).
  • Hard exudates are seen above the lower temporal arcade at the edge of the retinal oedema zone (yellow arrow).
  • Haemorrhage (black arrow).
Scarring stage AMD. Discoid scar.

Kolar, P., 2013, 'Classification and Clinical Features of AMD', in G. L. Giudice (ed.), Age-Related Macular Degeneration - Etiology, Diagnosis and Management - A Glance at the Future, IntechOpen, London. 10.5772/53762.

  • Colour photo of the left eye ocular fundus: discoid scar

Color Atlas & Synopsis of Clinical Ophthalmology Wills Eye Institute: Retina 

  • Colour photo of the left eye ocular fundus: discoid scar
Diagnosis of AMD Specialised ophthalmological care
Clinical tasks:
  • Confirmation of the AMD diagnosis.
  • Differential diagnosis.
  • Determination of the stage of AMD.
  • Deciding on further treatment strategies and monitoring frequency.
  • Determination of visual prognosis depending on the stage of the disease detected.
  • Identifying signs of macular neovascularisation (MNV) and evidence of exudative MNV activity.
  • Determination of indications for antiangiogenic therapy.
  • Treatment efficacy evaluation: changes in the activity of MNV during treatment.
  • Selection of an antiangiogenic treatment regimen and selection of an antiangiogenic drug based on clinical evidence.
  • Detection of signs of macular atrophy, evaluation of visual prognosis.
Imaging methods:

Possibilities and differences from the outpatient stage.

  • Biomicroscopy using high-diopter lenses
  • Photoregistration
  • Fundus autofluorescence
  • OCT, OCTA
  • Angiography with dyes (fluorescein, indocyane green)

Biomicroscopy is a method of examining the fundus using a slit lamp and high-diopter aspheric lenses (+ 60.0, + 78.0, + 90.0 dptr) or contact lenses (Goldmann's three-mirror lens, panfundus lenses) The possibility of obtaining an enlarged stereoscopic image of the fundus. The optimal ophthalmoscopy method for AMD diagnosis.

Photoregistration of the fundus is the acquisition of an image of the retina of the eye by means of a portable or stationary digital retinal camera. The camera allows you to take a digital snapshot or a series of images of the fundus. Funduscopic images can be used for retinal and optic nerve disease screening, disease dynamics analysis and assessment of the effectiveness of treatments, including through artificial intelligence systems. The images of the eye fundus are stored in the instrument’s database and can be attached to an individual patient file in medical information systems, making it possible to assess and compare the retina’s condition at all stages of observation and treatment.

Fundus autofluorescence (FAF) is a non-invasive examination method based on the capacity of fluorophores (lipofuscin) to emit light of a certain wavelength under the excitation of laser radiation.

The method is used in a multimodal approach in the diagnosis of retinal and optic nerve diseases. Fundus autofluorescence can detect changes that are not visible in ophthalmoscopy and indirectly suggest functional retinal pigment epithelium.

Optical coherence tomography (OCT) is a non-invasive and highly accurate examination method for obtaining an image of the cross section of in vivo tissue under examination. It provides the capability to visualise retinal structure and choroid at a microscopic level (1–15 microns).

OCT is currently the “gold standard” in diagnosing and monitoring AMD. Structural OCT shows symptoms of AMD, indirect signs of neovascular membranes, and tomographic signs of their exudative activity.

Angiography with dyes (fluorescent angiography, aguiography with indocyanine green) remains the “gold standard” for diagnosing neovascular AMD.

Direct visualisation of macular neovascular membranes is possible with the rapidly developing non-invasive optical coherence tomography-angiography method.

Optical Coherence Tomography Angiography (OCTA)  The method is based on the identification of moving blood shapes in the vessels during scanning of the fundus with subsequent formation of a map of the vascular bed.

With OCTA, it is possible to visualise both the general picture of the vascular bed and an isolated image of the vascular plexuses, newly formed vessels and abnormal vascular structures.

At the present stage of the development of ophthalmology, it is necessary to use a multimodal approach in the diagnosis and monitoring of AMD to assess optimally the stage of the disease, detect its progression and ensure timely referral to antiangiogenic therapy, as well as to evaluate the effectiveness of treatment.

Approaches to the treatment of AMD and scientific developments 

Despite advances in improving AMD diagnostic methods, its treatment still remains a rather complex problem. 

1. Intravitreal injections of angiogenesis inhibitors

The first intravitreal injection of an antiangiogenic drug was performed back in 2000. Since then, intravitreal injections of anti-VEGF have revolutionized the treatment of retinal diseases and are currently the gold standard of treatment for patients with neovascular (wet) AMD.

Intravitreal anti-VEGF injections can significantly reduce the risk of blindness and improve visual acuity in patients with nAMD.

The prospects of therapy directly depend on its timely initiation and adherence to the optimal injection regimen based on regular monitoring. Prevention of a decrease in visual acuity even in the absence of its improvement should be considered a positive dynamic compared to the natural course of the disease.

2. Laser treatment

Focal laser coagulation of the fundus is recommended for patients with wet AMD in the case of extrafoveal location of choroidal neovascularization (CNV) and the impossibility of intravitreal administration of an angiogenesis inhibitor to destroy CNV.

Photodynamic therapy is recommended for wet forms of AMD, including polypoid choroidal vasculopathy (PCV), resistant to treatment with angiogenesis inhibitors, with the aim of inducing occlusion of pathological vessels.

3. Conservative treatment

For patients with early AMD, special treatment is not recommended. It is recommended to prescribe medications: vitamin and mineral complexes containing lutein and zeaxanthin, as well as polyunsaturated fatty acids - for patients with intermediate AMD, or in the presence of late AMD in the fellow eye in order to reduce the risk of progression of the disease to a late stage and stabilize visual functions.

According to clinical guidelines for the management of patients with AMD, the first-line therapy for the wet form is intravitreal administration of angiogenesis inhibitors with injection frequency in accordance with the instructions for use of the drug used.

Ranibizumab is a fragment of a humanized antibody to vascular endothelial growth factor A (VEGF-A). It selectively binds to VEGF-A (VEGF110, VEGF121, VEGF165), preventing its interaction with receptors on the surface of endothelial cells, which leads to suppression of neovascularization and proliferation of endothelial cells.

Aflibercept is a recombinant fusion protein consisting of fragments of the extracellular domains of human VEGF receptors fused to the Fc region of human immunoglobulin G. It acts as a soluble decoy receptor that binds VEGF-A and placental growth factor with higher affinity than their natural receptors and can thus inhibit the binding and activation of these related VEGF receptors.

Brolucizumab is a humanized single-chain antibody fragment that binds with high affinity to various isoforms of VEGF-A (particularly VEGF110, VEGF121, and VEGF165), thereby preventing VEGF-A from binding to its receptors VEGFR-1 and VEGFR-2. By inhibiting VEGF-A binding, brolucizumab inhibits endothelial cell proliferation, thereby reducing pathological neovascularization and decreasing vascular permeability.

Faricimab is the first and only bispecific antibody targeting two pathogenesis pathways (Ang-2 and VEGF-A) for the treatment of nAMD and DME.  Faricimab provides sustained improvement in visual acuity and early anatomical effect in over 60% of patients within 16 weeks of treatment*

Despite the success of anti-VEGF therapy, adherence to frequent injection schedules and frequent follow-up examinations is quite difficult for elderly patients and their families, and also poses a significant burden on the healthcare system due to frequent visits and constant monitoring of patients. This results in a high treatment burden that worsens the results of the method in real-life clinical practice and is considered today as a key problem of antiangiogenic therapy. Alternative treatment options with longer intervals between injections could reduce the burden on both patients and physicians and improve treatment adherence.

Conclusion

Currently, AMD continues to be a socially significant problem, being the main cause of vision loss among patients of the elderly age group. Thanks to modern research methods, scientists can study the pathogenesis of the disease in more detail, which will undoubtedly help to form the main directions of further scientific developments. The search for new therapy targets and the creation of treatment strategies aimed at maximizing the intervals between injections, as well as the development of new technologies such as gene therapy and a personalized approach to patient treatment will reduce the burden of treatment and improve its functional outcomes in real clinical practice.

*In 63% of patients with nAMD at week 112 with faricimab 6.0 mg administered up to every 16 weeks (pooled data from the TENAYA and LUCERNE studies); in 62% of patients with DME at week 96 with faricimab 6 mg administered up to every 16 weeks (pooled data from the YOSEMITE and RHINE studies).

Bibliography:

1. Drolet DW, Nelson J, Tucker CE, et al. Pharmacokinetics and safety of an anti-vascular endothelial growth factor aptamer (NX1838) following injection into the vitreous humor of rhesus monkeys. Pharm Res 2000;17:1503–10

2. Federal clinical guidelines approved by the Russian Ministry of Health. "Age-related macular degeneration".

3. Macular Photocoagulation Study Group. Argon laser photocoagulation for neovascular maculopathy. Five-year results from randomized clinical trials /Archives of ophthalmology. – 1991. – Vol. 109. – P. 1109–1114.

4. TAP Study Group. Improvement after Verteporfin therapy / Archives of ophthalmology. – 2003. – Vol. 121. – P. 415.

5. Grassmann F. et al. Deep Learning Algorithm for Prediction of Age-Related Eye Disease Study Severity Scale for Age-Related Macular Degeneration from Color Fundus Photography / Ophthalmology. – 2018. – Vol. 125. No. 9. – P. 1410-1420.

6. Age-Related Eye Disease Study Research Group A randomized, placebocontrolled, clinical trial of high-dose supplementation with vitamins C and E, beta carotene, and zinc for age-related macular degeneration and vision loss: AREDS report no. 8 / Archives of ophthalmology. – 2001. – Vol. 119. No. 10. –P. 1417.

7. Zajac-Pytrus HM et al. The dry form of age-related macular degeneration (AMD): the current concepts of pathogenesis and prospects for treatment / Adv Clin Exp Med – 2015. – Vol. 24. No. 6. – P. 1099-1104.

8. Carrasco J. et al. Real-World Effectiveness and Real-World CostEffectiveness of Intravitreal Aflibercept and Intravitreal Ranibizumab in Neovascular Age-Related Macular Degeneration: Systematic Review and Meta-Analysis of Real-World Studies / Advances in Therapy – 2019. DOI: 10.1007/s12325-019-01147-6

9. Nguyen CL et al. Anti-vascular endothelial growth factor for neovascular age related macular degeneration: a meta-analysis of randomized controlled trials /BMC Ophthalmology – 2018. – Vol. 30 No. 18(1). – P.130.

10. CATT Research Group. Ranibizumab and bevacizumab for neovascular agerelated macular degeneration / New England Journal of Medicine – 2011. –Vol. 364. No. 20. – P. 1897-1908

11. Sarwar S. et al. Aflibercept for neovascular age-related macular degeneration./ Cochrane Database Syst Rev. 2016. DOI: 10.1002/14651858.CD011346.pub2

12. State Register of Medicines, [Electronic resource] 07/16/2021 URL: https://grls.rosminzdrav.ru/Default.aspx

13. Khanani AM SIERRA-AMD: A Retrospective, Real-World Evidence Study of Patients with Neovascular Age-Related Macular Degeneration in the United States / AM Khanani, A. Skelly, V. Bezlyak et al. // Ophthalmol. Retina. – 2020. – Vol. 4, No. 2. – P. 122–133.

14. Instructions for medical use of the medicinal product Lucentis®, LSR-004567/08, amended on 15.06.20

15. Instructions for medical use of the medicinal product Eylea®, LP 003544-170419, amended on 05/28/20

16. Panos GD, Lakshmanan A, Dadoukis P, Ripa M, Motta L, Amoaku WM. Faricimab: Transforming the Future of Macular Diseases Treatment - A Comprehensive Review of Clinical Studies. Drug Des Devel Ther. 2023 Sep 18;17:2861-2873

Are you sure?
Restricted

Bookmarking is available only for logged-in users.

Sign up Log in